Прозрачное ортодонтическое лечение
Это инновационный метод лечения, который позволяет корректировать зубы естественным образом, не мешая повседневной жизни, с помощью ортодонтических аппаратов, изготовленных из прозрачного пластикового материала.
Что такое прозрачное ортодонтическое лечение?
Это метод лечения с использованием ортодонтических аппаратов, изготовленных из прозрачного пластикового материала, который позволяет исправлять зубы незаметно.

Почти не видно.
Изготовлены из прозрачного пластикового материала, они почти незаметны при ношении.

Свободное питание
Можно снимать во время еды, поэтому нет ограничений по типам пищи.

Удобный уход за полостью рта
Съемные, поэтому вы можете чистить зубы и использовать зубную нить, как обычно.

Комфортное ношение
Не повреждает десны и губы благодаря гладкой поверхности.

Удобство в социальной жизни
Вы сможете естественно вести свою жизнь без стресса из-за внешности в работе или общественной жизни.

Удобное управление
Можно легко очищать и ухаживать с помощью специального чистящего средства.

Точное перемещение зубов
Точное предсказание результатов лечения с помощью 3D симуляции.

Сокращенное количество посещений
Вы можете сократить количество посещений по сравнению с традиционным ортодонтическим лечением.
Процесс лечения прозрачными брекетами
Систематический поэтапный процесс лечения
Точная диагностика
3D сканирование и составление плана лечения
Изготовление аппаратов
Изготовление индивидуальных прозрачных аппаратов
Ношение аппарата
Пошаговое ношение прозрачных аппаратов
Регулярный осмотр
Проверка прогресса каждые 6-8 недель.
Уход за зубами
Ношение удерживающего устройства после завершения лечения
Прозрачное ортодонтическое лечение vs Обычное ортодонтическое лечение
Сравнение между прозрачными брекетами и обычными брекетами.
Сертификация и квалификация
Сведения о сертификации специалистов в области прозрачного ортодонтического лечения

Официальная сертификация Align Technology

Признано Ассоциацией ортодонтии Кореи

Завершение специализированного курса по 3D цифровой ортодонтии
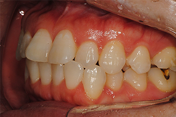
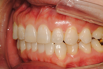
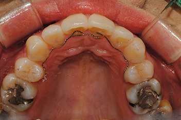
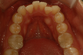
Примеры лечения прозрачными брекетами
Примеры до и после лечения прозрачными брекетами.
Улучшение выступающих губ


Естественное улучшение выступающих губ, вызванных протрузией верхней и нижней челюсти, с помощью прозрачных элайнеров
Устранение протрузии передних зубов - Случай 1


Постепенное улучшение серьезной протрузии передних зубов с помощью прозрачных элайнеров
Устранение протрузии передних зубов - Случай 2


Быстрое улучшение легкой протрузии передних зубов с помощью прозрачных элайнеров
Случай улучшения прикуса


Полное улучшение общей неровности зубного ряда с помощью прозрачных элайнеров
Методы ухода за прозрачными брекетами
Правильные методы ухода для успешной прозрачной ортодонтии

Правильный способ ношения
- •Носите 20-22 часа в день (исключая время для еды и чистки зубов).
- •Замена на следующий этап каждые 1-2 недели по указанию врача.
- •При ношении нового устройства равномерно прикусите с обеих сторон, чтобы полностью установить его.

Уборка и обслуживание
- •Горячая вода может привести к деформации, поэтому используйте теплую воду.
- •Используйте специальные чистящие средства для прозрачных брекетов или нейтральные моющие средства вместо зубной пасты.
- •Легко протрите мягкой зубной щеткой, чтобы удалить инородные вещества.

Хранение и переноска
- •При удалении обязательно храните в специальном кейсе, чтобы избежать потери.
- •Храните в сухом месте, избегая влажности, и в хорошо проветриваемом месте.
- •Подготовка запасного кейса для работы или учебы.

Важные моменты, на которые следует обратить внимание
- •Горячие напитки во время ношения могут вызвать деформацию устройства.
- •После удаления рекомендуется употреблять напитки, такие как кофе и вино, которые могут вызывать окрашивание.
- •Не жуйте жевательную резинку или конфеты во время ношения.